Implantologie
Implantation
Ein Zahnimplantat ist eine künstliche Wurzel, eine Schraube aus Titan, die in den Kieferknochen eingesetzt wird und dort als Basis für die Befestigung von Einzelkronen, Brücken oder als Verankerung für eine Vollprothese dient.
Die Implantation stellt heute eine der besten Methoden für die Versorgung von Lücken und den Ersatz eigener Zähne dar. Die Vorteile gegenüber Brücken oder Prothesen liegen darin, dass die künstlichen Zahnwurzeln eine feste Verbindung mit dem Knochen herstellen und damit eine stabile Basis für den Zahnersatz bilden. Ein Knochenschwund wird dort, wo sich keine natürliche und belastete Zahnwurzel mehr im Knochen befindet durch Implantat vermindert. Ausserdem werden benachbarte Zähne nicht wie bei Brücken abgeschliffen.
Implantate erfüllen auch mehr als andere Verfahren Ansprüche an Ästhetik, Komfort und Lebensqualität.
Der Eingriff:
Vor der Implantation wird eine Röntgenaufnahme, in bestimmten Fällen ein Computertomogramm des Kiefers angefertigt, um die genaue Lokalisation der wichtigen anatomischen Strukturen festzustellen.
Unter lokaler Anästhesie wird die Schleimhaut eröffnet und in den Kieferknochen wird das sogenannte Implantatbett mit Spezialbohrern, wo die künstliche Wurzel eingeschraubt wird, präpariert.
Nach dieser Behandlung muss das Implantat in den Knochen einheilen. Während dieser 3-4 Monate darf das Implantat nicht belastet werden, aber eine provisorische Brücke oder eine abnehmbare Prothese werden aus ästhetischen Gründen angefertigt. Nach der Einheilung in den Knochen wird das Implantat freigelegt und die definitive Krone (oder die Brücke) hergestellt.
In unserer Praxis verwenden wir Straumann® SLActive Implantate, welche weltweit als schweizer Spitzenqualität bekannt sind. Es gibt eine breite Auswahl von Implantatgrössen (Durchmesser, Länge) und Formen so dass für jede Situation das geeignete Implantat zur Verfügung steht.
Navigierte Implantation
Falls das Einsetzen mehrerer Implantate geplant, oder die vorhandene Knochenmenge für die Verankerung nicht eindeutig genügend ist, wird die Anwendung eines Computerplanungsprogramms empfohlen. Nach der CT-Aufnahme und einer virtuellen Simulation der Zahnstellung, ist mit Hilfe eines Softwares möglich, die genaue Position der Implantate zu definieren. Dann kann eine präzise Bohrschablone individuell für den Patienten hergestellt werden. In gewissen Fällen kann auch die Implantation ohne Aufschneiden der Schleimhaut erfolgen.
Knochenaufbau

Nach längerem Fehlen von Zähnen, oder infolge einer Kieferentzündung kommt es meist zu einem Abbau des Kieferkamms, dadurch ist oft zu wenig Knochensubstanz vorhanden um ein Implantat einsetzen zu können. Je nach Grösse des Defektes, wird der Knochenaufbau vor der Implantation als separater Eingriff oder gleichzeitig mit dieser durchgeführt.
Es gibt verschiedene Methoden um den Knochen aufzubauen.
• Falls es um einen kleineren Knochendefekt geht, ist es meistens möglich diesen mit Knochenersatzmaterial (BioOss®) aufzufüllen.
• Wenn z.B. die horizontale oder die vertikale Dimension des Knochens verbreitet werden soll, bietet ein Knochenblock die beste Lösung. Dafür wird Knochen am häufigsten vom Unterkiefer entnommen und im betroffenen Bereich mit Schrauben fixiert.
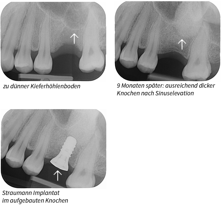
• Sinusbodenelevation ist eine spezielle Knochenaufbautechnik, da bei diesem Eingriff der Boden der Kieferhöhle angehoben und mit Knochenersatzmaterial aufgefüllt wird.
Das aufgebaute Areal wird mit einer Membrane (BioGide®) abgedeckt. Der neue Knochen entsteht in 6 Monaten und erst danach darf ein Implantat eingepflanzt werden.


